Full Mouth Rehabilitation is a comprehensive dental procedure designed to address multiple dental issues and restore both the functionality and aesthetics of your smile.

Full Mouth Rehabilitation is a comprehensive dental procedure designed to address multiple dental issues and restore both the functionality and aesthetics of your smile.
Whether dealing with missing teeth, damaged teeth, bite problems, or a combination of dental issues, FMR provides a comprehensive solution aiming to restore and optimize oral health.
FMR can dramatically improve the appearance of your smile, addressing stained, misaligned, or damaged teeth through a combination of restorative and cosmetic treatments.
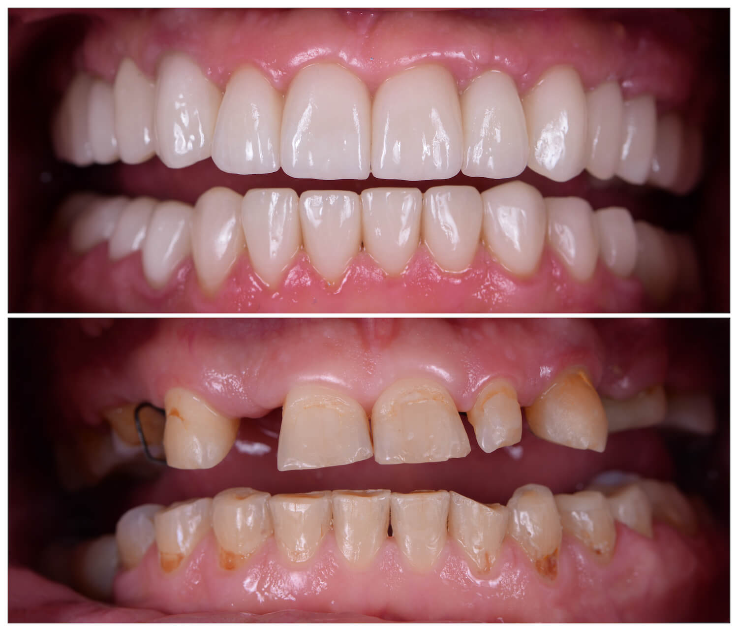
Full Mouth Rehabilitation, also known as full mouth reconstruction, is an individualized treatment plan that combines multiple dental procedures to completely restore the health, function, and beauty of your teeth and gums. At Niraamay Dental Care in Mulund, our experienced dental specialists evaluate every aspect of your oral health to create a customized treatment strategy that addresses your unique needs.
This transformative procedure is ideal for patients who have experienced extensive tooth loss, severe wear and tear, chronic dental pain, TMJ disorders, or those who have neglected their oral health for an extended period. The rehabilitation process may include dental implants, crowns, bridges, veneers, orthodontics, periodontal treatments, and other advanced dental procedures.
Our full mouth rehabilitation services at Niraamay Dental Care begin with a thorough diagnostic evaluation using state-of-the-art technology including digital X-rays, 3D imaging, and bite analysis. We examine your teeth, gums, jaw joints, bite alignment, and facial aesthetics to develop a holistic treatment plan that not only addresses existing problems but also prevents future complications.
The treatment is typically performed in phases, allowing your mouth to heal properly between procedures and ensuring optimal results. Our team works closely with you throughout the process, keeping you informed and comfortable at every step. We utilize the latest techniques in sedation dentistry to ensure your treatment is as painless and stress-free as possible.
While a beautiful smile is certainly an important outcome of full mouth rehabilitation, the benefits extend far beyond aesthetics. Patients often experience significant improvements in chewing efficiency, speech clarity, and overall oral comfort. Properly aligned teeth and a balanced bite can alleviate jaw pain, reduce headaches, and prevent further dental damage caused by grinding or uneven wear.
Additionally, restoring missing or damaged teeth helps maintain facial structure, preventing the sunken appearance that can occur with tooth loss. Improved oral health also contributes to better overall health, as dental problems have been linked to various systemic conditions including heart disease and diabetes.
At Niraamay Dental Care in Mulund, we understand that full mouth rehabilitation is a significant commitment. Our compassionate team is dedicated to making your journey as smooth and comfortable as possible, offering flexible payment options and personalized care that prioritizes your wellbeing. Contact us today to schedule a comprehensive consultation and take the first step toward reclaiming your confident, healthy smile.
Full Mouth Rehabilitation is a comprehensive dental procedure designed to address multiple dental issues simultaneously and restore both the functionality and aesthetics of your smile through a combination of restorative and cosmetic treatments.
FMR is ideal for patients dealing with missing teeth, damaged teeth, bite problems, or a combination of dental issues that require a comprehensive solution to restore and optimize oral health.
FMR can dramatically enhance your smile by addressing stained, misaligned, or damaged teeth through a combination of restorative and cosmetic treatments, giving you a more attractive and confident smile.
FMR can address a wide range of issues including missing teeth, damaged or broken teeth, misaligned teeth, bite problems, stained teeth, and multiple dental concerns that affect both function and appearance.
The duration varies depending on the complexity of your case and the specific treatments required. Your dentist at Niraamay Dental Care will provide a customized treatment timeline during your consultation.
Niraamay Dental Care offers painless dentistry options to ensure your comfort throughout the FMR process. Modern anesthesia and sedation techniques are used to minimize discomfort during procedures.
FMR may include various treatments such as dental implants, crowns and bridges, veneers, teeth whitening, root canal treatments, tooth extractions, and orthodontic work, depending on your specific needs.
Coverage varies by insurance provider and individual plans. It's recommended to contact Niraamay Dental Care to discuss your specific case and explore payment options and insurance coverage details.
FMR provides lasting improvements in oral function, speech, chewing ability, facial aesthetics, and overall confidence. It also helps prevent further dental deterioration and promotes better long-term oral health.
You can contact Niraamay Dental Care in Mulund West at +91-98198-15905 or email them to schedule a consultation. They're located at Silver Birch, Opp Vasant Garden, Swapna Nagari, Mulund West, Mumbai 400080.