Fluoride Treatments involve the application of fluoride to the teeth to strengthen enamel, prevent cavities, and promote overall oral health.

Fluoride Treatments involve the application of fluoride to the teeth to strengthen enamel, prevent cavities, and promote overall oral health.
Fluoride Treatments are essential for maintaining strong and healthy teeth, especially in preventing tooth decay and cavities in both children and adults. Regular fluoride applications contribute to the remineralization of enamel, providing added protection against acids and bacteria.
Fluoride is a naturally occurring mineral that has been proven to be one of the most effective agents in preventing tooth decay. When applied professionally to your teeth, fluoride works by strengthening the tooth enamel, making it more resistant to acid attacks from plaque bacteria and sugars in the mouth. This protective barrier significantly reduces the risk of cavities and helps reverse early signs of tooth decay.
At Niraamay Dental Care in Mumbai, we understand that prevention is better than cure. Our professional fluoride treatments offer a safe, quick, and painless method to protect your teeth from decay. The treatment is particularly beneficial for individuals who are at higher risk of developing cavities, including children, teenagers, and adults with a history of dental problems.
While fluoride treatments are beneficial for patients of all ages, certain individuals may require them more frequently. Children and teenagers benefit greatly from fluoride applications as their teeth are still developing and are more susceptible to decay. Adults with gum disease, frequent cavities, or those undergoing orthodontic treatment with braces also benefit significantly from regular fluoride treatments.
Additionally, patients with dry mouth conditions, those who have undergone radiation therapy affecting the head and neck area, or individuals with exposed root surfaces due to gum recession can greatly benefit from professional fluoride applications. Our experienced dental team at Niraamay Dental Care will assess your individual needs and recommend an appropriate fluoride treatment schedule.
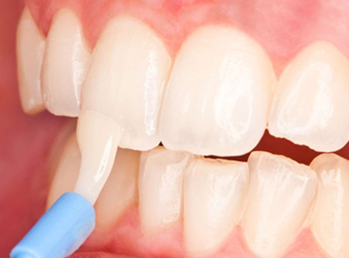
Our fluoride treatment procedure is simple, quick, and completely painless. The entire process typically takes just a few minutes during your regular dental visit. We apply a highly concentrated fluoride gel, foam, or varnish to your teeth using a brush, tray, or swab. After application, you'll be advised to avoid eating or drinking for at least 30 minutes to allow the fluoride to fully absorb into your teeth enamel.
Regular fluoride treatments, combined with good oral hygiene practices at home, provide comprehensive protection against tooth decay. These treatments complement your daily brushing with fluoride toothpaste and help maintain optimal oral health throughout your lifetime. By investing in preventive care today, you can avoid costly and invasive dental procedures in the future.
Visit Niraamay Dental Care in Mumbai for professional fluoride treatments that keep your smile healthy, strong, and cavity-free for years to come.
Dental fluoride treatments involve applying fluoride directly to your teeth to strengthen tooth enamel, prevent cavities, and improve overall oral health. The fluoride is typically applied as a gel, foam, or varnish during a dental visit.
Fluoride treatments are beneficial for both children and adults. They're especially recommended for people at higher risk of tooth decay, those with a history of cavities, individuals with dry mouth conditions, or anyone looking to strengthen their tooth enamel.
Fluoride helps prevent cavities by promoting the remineralization of tooth enamel, which reverses early signs of tooth decay. It also makes teeth more resistant to acid attacks from bacteria and sugars in the mouth.
The frequency depends on your individual oral health needs. Some people may benefit from treatments every 3, 6, or 12 months. Your dentist at Niraamay Dental Care will recommend a schedule based on your cavity risk and overall dental health.
Yes, professional fluoride treatments are safe when administered by dental professionals. The amount of fluoride used is carefully controlled and much more concentrated than what's found in toothpaste or drinking water, making it highly effective for cavity prevention.
No, fluoride treatments are completely painless. The procedure is quick and simple, involving the application of fluoride to your teeth for a few minutes. There's no drilling or discomfort involved.
A fluoride treatment typically takes just a few minutes. The actual application process is very quick, though you may need to avoid eating or drinking for 30 minutes afterward to allow the fluoride to be fully absorbed.
Absolutely. While fluoride treatments are commonly associated with children's dentistry, adults can greatly benefit as well, especially those with gum recession, dry mouth, a history of frequent cavities, or those undergoing orthodontic treatment.
After treatment, avoid eating, drinking, or rinsing your mouth for at least 30 minutes to allow the fluoride to properly penetrate your tooth enamel. Your dentist will provide specific aftercare instructions.
Niraamay Dental Care in Mulund West, Mumbai offers professional fluoride treatments as part of their preventive dentistry services. You can contact them at +91-98198-15905 or visit their clinic at Swapna Nagari, Mulund West, Mumbai 400080.